Анимированная фотография кликабельна, Командный подход в стоматологическом лечении :: Стоматология ::
Как разместить свои работы в разделе Фотогалерея? |
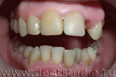
Исходное состояние пациентки потребовало командного подхода врачей клиники с тщательным и детальным планированием. На момент обращения в стоматологическую клинику "Дент Студио" у пациентки отмечаются стертые и скученные зубы с признаками пародонтита. Некоторые зубы утрачены или разрушены до корней. В ряде зубов под пломбами отмечается кариес. Форма многих зубов изменена пломбами с нарушением функциональности. Неправильный прикус приводит к дальнейшему быстрому разрушению зубов. * Лечение зубов и десен провел врач-терапевт Ледовской Михаил Иванович. * Дентальную имплантацию провел врач хирург-имплантолог, К. М. Н. Смбатян Баграт Сергеевич. * Ортодонтическое лечение брекетами провела врач-ортодонт Долженкова Ольга Викторовна. * Координацию всех стадий и финальный этап лечения - протезирование безметалловыми коронками и винирами провел врач-ортопед, Главный Врач клиники Иванюк Андрей Вячеславович.
Оставить отзыв
Анимированная фотография кликабельна![]() Отображение исходного и конечного состояния зубов пациента Скачать фото в оригинальном размере (400x267) |
Визитов: 19840
|
|
Как разместить свои работы в разделе Фотогалерея?








